ทันตกรรมประดิษฐ์
ทันตกรรมประดิษฐ์ คือ การบูรณะฟันธรรมชาติและการใส่ฟันทดแทนฟันธรรมชาติที่หายไป โดยการสร้างวัสดุคล้ายฟันขึ้นมาทดแทน เพื่อการใช้งานบดเคี้ยวหรือความสวยงาม ซึ่งจะครอบคลุมถึงการรักษาทางทันตกรรมหลายประเภท ได้แก่
ฟันปลอมชนิดถอดได้
ฟันปลอมชนิดถอดได้บางส่วน
ฟันปลอมชนิดถอดได้ทั้งปาก
ฟันปลอมชนิดติดแน่น
ครอบฟัน
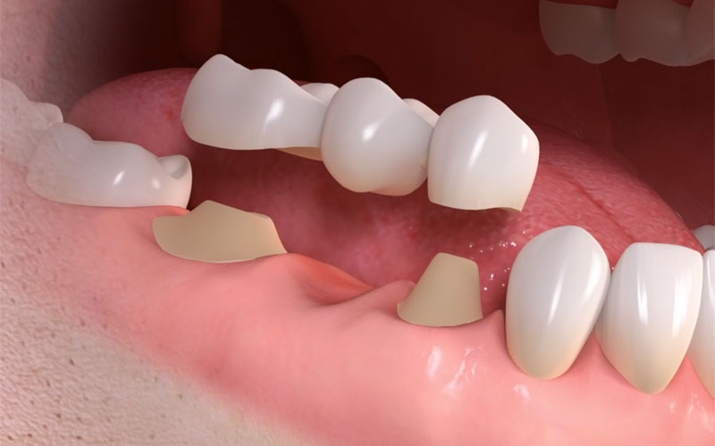
สะพานฟัน
รากฟันเทียม
รากฟันเทียมที่ TDH Dental ช่วยให้คุณกลับมามีฟันที่ใช้งานได้จริง แข็งแรง และดูเป็นธรรมชาติ โดยทันตแพทย์ผู้เชี่ยวชาญจะออกแบบและวางแผนอย่างละเอียดด้วยเทคโนโลยี 3D เพื่อให้รากฟันเทียมเข้ากับโครงสร้างกระดูกและใบหน้าของแต่ละคน ฟื้นฟูการเคี้ยวและความมั่นใจให้กลับมาได้อีกครั้ง พร้อมดูแลคุณอย่างใส่ใจในทุกขั้นตอน เพื่อรอยยิ้มที่กลับมาสวยและใช้งานได้ยาวนาน.

English