ขูดหินปูน ขัดฟัน
ทำไมต้องขูดหินปูนและขัดฟัน
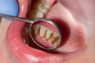
ขูดหินปูนและการขัดฟัน เป็นการกำจัดคราบที่เกิดจากการสะสมของคราบพลัคจนทำให้มีการก่อตัวเป็นคราบที่มีลักษณะแข็งและหยาบ เรียกว่า “หินน้ำลายหรือหินปูน” ซึ่งไม่สามารถขจัดออกด้วยการแปรงฟัน ถ้าหากไม่ขจัดหินปูนออกคราบพลัคจะก่อตัวมากยิ่งขึ้นบริเวณรอบๆ ฟันและบริเวณใต้แนวเหงือก อาจทำให้ลุกลามไปสู่ปัญหาสุขภาพเหงือก ฟันผุ ฟันเหลือง มีกลิ่นปาก หรือทำให้สูญเสียฟันได้
ลงทะเบียนนัดหมาย
ขั้นตอนการขูดหินปูนและขัดฟัน
- ทันตแพทย์ทำการตรวจสุขภาพช่องปากว่ามีคราบหินปูนมากน้อยแค่ไหน
- ทันตแพทย์ใช้เครื่องมือขจัดหินปูนแบบที่มีแรงสั่นสะเทือนความถี่สูง ทำให้หินปูนหลุดออก
- ทันตแพทย์ทำความสะอาดฟัน
ระยะเวลาในการขูดหินปูนและขัดฟัน
การขูดหินปูนและขัดฟันใช้ระยะเวลาประมาณ 1 ชั่วโมง ขึ้นอยู่กับจำนวนของคราบหินปูน
อายุการใช้งานการขูดหินปูนและการขัดฟัน
เนื่องจากคราบพลัคมีการสะสมอยู่ตลอดเวลา ดังนั้นจึงแนะนำให้มีการขูดหินปูนและการขัดฟันทุกๆ 6 เดือน
การดูแลรักษาหลังขูดหินปูน
- แปรงฟันด้วยยาสีฟันที่มีส่วนผสมของฟลูออไรด์อย่างน้อยวันละ 2 ครั้ง
- แนะนำให้เลี่ยงอาหารรสเปรี้ยว หวานและเย็นจัด เนื่องจากอาจจะมีอาการเสียวฟัน
- ใช้ไหมขัดฟัน และน้ำยาบ้วนปากเป็นประจำ
- งดสูบบุหรี่ เนื่องจากมีงานวิจัยพบว่าผู้ที่สูบบุหรี่จะมีหินปูนในช่องปากเร็วกว่าผู้ที่ไม่สูบบุหรี่
- พบทันตแพทย์ทุกๆ 6 เดือน เพื่อตรวจช่องปากและทำการขูดหินปูน
ขูดหินปูนคำถามที่พบบ่อย
ขูดหินปูน คำถามที่พบบ่อย
4-Steps Cleaning ราคา 1,400 – 2,000 บาท ขึ้นอยู่กับความมากน้อยของหินปูน
1-ด้วยหัวขูด Ultrasonic เพื่อกำจัดหินปูนบนผิวฟันที่สามารถมองเห็นได้ด้วยตา
2-เครื่องมือหัวเรียวเล็ก เพื่อกำจัดหินปูนตามซอกฟันที่มักถูกมองข้าม เพราะมองด้วยตาเปล่าไม่เห็น
3-การทำความสะอาดผิวฟันด้านข้าง ที่ไม่สามารถทำได้ด้วยการแปรงฟันเพียงอย่างเดียว
4-การขัดทำความสะอาดผิวฟันทั้งด้านนอก และด้านใน เพื่อขจัดคราบจุลินทรีย์
ประมาณ 30-45 นาที แต่ขึ้นอยู่กับปริมาณคราบหินปูน
4-6 เดือน ขึ้นอยู่กับปริมาณการเกิดใหม่ของหินปูนและคราบที่เกาะบนตัวฟันของแต่ละบุคคล ทั้งนี้ทันตแพทย์จะเป็นผู้ประเมิน และแนะนำให้
– อาจทำให้มีกลิ่นปาก เหงือกอักเสบ เหงือกร่น หรือฟันโยก ซึ่งอาจนำไปสู่โรคเหงือกได้
– แนะนำพบคุณหมอ เพื่อเช็คสภาพช่องปากและฟัน
A : ผู้ที่ต้องระวังเรื่องการขูดหินปูนและการขัดฟัน ได้แก่
- ผู้ป่วยที่มีโรคประจำตัว เช่น โรคเบาหวาน โรคความดัน โรคตับ โรคหัวใจ และโรคที่เกี่ยวกับการแข็งตัวของเลือด ควรอยู่ภายใต้การดูแลของทันตแพทย์และแพทย์อย่างใกล้ชิด เนื่องจากอาจเกิดภาวะแทรกซ้อนจากการขูดหินปูนได้
- ผู้ใส่เครื่องกระตุ้นหัวใจ ไม่ควรขูดหินปูนด้วยเครื่องขูดหินปูนไฟฟ้า เนื่องจากเครื่องขูดหินปูนไฟฟ้าจะไปรบกวนการทำงานของเครื่องกระตุ้นหัวใจ อาจทำให้เกิดภาวะหัวใจเต้นผิดปกติได้ ดั้งนั้นหากต้องการขูดหินปูนจริงๆ จะต้องขูดหินปูนโดยใช้เครื่องมือขูดหินปูนด้วยมือเท่านั้น
A : การขูดหินปูนอาจมีอาการเสียวฟันเกิดขึ้นได้ปกติ แต่ต้องมีอาการเสียวฟันเพียงเล็กน้อยหากเสียวฟันมากทันตแพทย์อาจพิจารณาใช้ยาชาเฉพาะที่ สำหรับอาการเสียวฟันจากการขูดหินปูนเกิดจากหินปูนที่หุ้มรากฟันอยู่จะถูกกำจัดออกไปทำให้ไม่มีอะไรมาปิดหุ้มเนื้อฟันไว้ ส่งผลให้ประสาทรับรู้เกิดความรู้สึกเจ็บปวดหรือเสียวฟันได้
A : แนะนำว่าอย่าทำการขูดหินปูนด้วยตนเองเป็นอันขาด เพราะนอกจากจะเอาคราบหินปูนออกจากฟันไม่ได้แล้ว อาจทำให้เกิดอาการบาดเจ็บ เกิดแผลในช่องปากจน หรือเหงือกอักเสบบวมได้ ดังนั้นถ้าต้องการนำคราบหินปูนออกควรให้ทันตแพทย์ใช้เครื่องมือโดยเฉพาะในการขูดหินปูนเท่านั้น

English