เปลี่ยนฟันหมอง เป็นฟันใหม่ ยิ้มสวยมั่นใจด้วย E-Max เซรามิกวีเนียร์

คุณโจเคยประสบปัญหาฟันไม่เรียบเนียน สีฟันไม่สม่ำเสมอ ส่งผลให้ขาดความมั่นใจเวลายิ้มหรือพูดคุย โดยเฉพาะในการทำธุรกิจ ซึ่งรอยยิ้มถือเป็นสิ่งสำคัญในการสร้างความประทับใจแรกเริ่ม ด้วยเหตุนี้ คุณโจจึงตัดสินใจเข้ารับการทำวีเนียร์ที่ TDH Dental เพื่อแก้ไขปัญหาดังกล่าวและเสริมสร้างความมั่นใจให้กับตัวเอง


เมื่อเดินทางมาถึง TDH Dental ทีมแพทย์จะทำการตรวจวิเคราะห์ปัญหาฟันโดยละเอียด มีการเอกซเรย์เพื่อให้เห็นโครงสร้างฟันอย่างชัดเจน ซึ่งช่วยให้คุณโจได้ทราบปัญหาสุขภาพช่องปากที่อาจไม่เคยรู้มาก่อน หลังจากที่คุณหมอทำการเคลียร์ช่องปากให้เรียบร้อยและตรวจสอบว่าสภาพฟันพร้อมสำหรับการทำวีเนียร์แล้ว จึงเริ่มกระบวนการวางแผนการรักษา


ขั้นตอนสำคัญก่อนเริ่มทำวีเนียร์คือการเลือกทรงและสีของวีเนียร์ให้ตรงกับความต้องการ คุณหมอจะสอบถามถึงสไตล์ที่ชอบ สีฟันที่ต้องการ โดยคุณโจเลือกให้ฟันขาวแบบเป็นธรรมชาติ ไม่ดูขาวจนเกินไป คุณหมอจึงให้คำแนะนำเกี่ยวกับรูปทรงและเฉดสีที่เหมาะสม พร้อมอธิบายรายละเอียดการทำในทุกขั้นตอน รวมถึงการเปรียบเทียบสีฟันก่อน-หลังเพื่อให้เห็นภาพชัดเจนและมั่นใจว่าผลลัพธ์จะออกมาตรงกับที่คาดหวัง


หลายคนอาจกังวลเกี่ยวกับการกรอฟันเพื่อทำวีเนียร์ แต่คุณหมอของ TDH Dental เน้นการกรอฟันออกให้น้อยที่สุดเพื่อคงสภาพฟันเดิมให้มากที่สุด ระหว่างการรักษา ทีมทันตแพทย์และผู้ช่วยดูแลเป็นอย่างดี ใช้เทคนิคที่ช่วยให้การรักษาเป็นไปอย่างราบรื่น ไม่รู้สึกเจ็บหรือเสียวฟันมาก ทำให้คุณโจรู้สึกสบายใจตลอดกระบวนการ


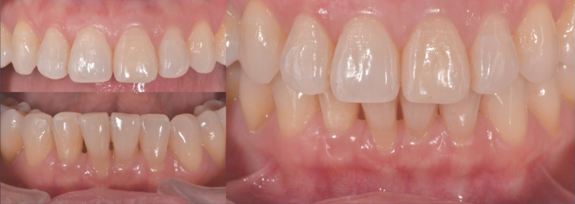
เมื่อวีเนียร์ติดตั้งเสร็จสิ้น ผลลัพธ์ที่ได้คือฟันเรียงตัวสวย สีฟันดูเป็นธรรมชาติ และช่วยให้รอยยิ้มดูมีเสน่ห์มากขึ้น ความมั่นใจกลับมาเต็มร้อย เพื่อนๆ และคนรอบข้างต่างสังเกตเห็นและชมว่าฟันสวยมาก โดยเฉพาะความเป็นธรรมชาติของสีฟันที่ไม่ได้ดูขาวจนเกินไป เวลาถ่ายรูปก็สามารถยิ้มกว้างได้อย่างมั่นใจมากขึ้น….ดูรีวิวเพิ่มเติม


สิ่งที่คุณโจกังวลก่อนหน้านี้คือเรื่องการดูแลรักษาวีเนียร์ แต่คุณหมออธิบายว่า วีเนียร์เปรียบเสมือนส่วนหนึ่งของร่างกาย หากดูแลอย่างถูกต้องก็จะสามารถใช้งานได้นาน วิธีดูแลพื้นฐาน ได้แก่ การแปรงฟันให้สะอาด การใช้ไหมขัดฟัน และหลีกเลี่ยงอาหารแข็งหรือการใช้ฟันกัดของแข็งโดยตรง ซึ่งจะช่วยยืดอายุการใช้งานของวีเนียร์ให้ยาวนานขึ้น


คุณโจขอยืนยันว่าการตัดสินใจทำวีเนียร์เป็นการลงทุนที่คุ้มค่า เพราะรอยยิ้มที่สวยงามส่งผลต่อความมั่นใจและบุคลิกภาพอย่างมาก หากใครกำลังสนใจทำวีเนียร์ ขอแนะนำให้เข้ามาปรึกษาคุณหมอที่ TDH Dental เพราะที่นี่มีทีมทันตแพทย์ที่เชี่ยวชาญ พร้อมรับฟังความต้องการของผู้ป่วย และให้คำแนะนำที่ตรงจุด รวมถึงการดูแลอย่างใส่ใจในทุกขั้นตอน ตั้งแต่วันแรกที่เข้ามาจนถึงหลังการรักษา ใครที่อยากมีรอยยิ้มที่สวยงามและเป็นธรรมชาติแบบคุณโจ TDH Dental คือคำตอบ!