
Dental Crown
What is Dental Crown ?
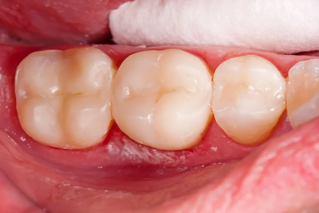
Crown is a treatment covering the tooth with a cap to strengthen and improve the teeth appearance. This treatment is for those who have weak teeth structure such as chipping teeth or wearing fillings, and those who wear dental implant to place over the implanted composite.

Who needs crown ?
- Those who have chipped or broken teeth, to increase the lifespan of the natural teeth
- Those who have serious decayed teeth and too damage to cure
- Those who have implanted teeth, to strengthen the implant
- To improve the teeth color and appearance
Types of Crown
There are several options of crown materials. The dentist will help you to determine the best solution.
- Metal-Ceramic Crown can be used with both front and molar teeth
- Full Ceramic Crown can be used with both front and molar teeth. It is a popular material for front teeth because it looks beautiful, has natural color, is strong and durable.
- Full Metal Crown this material is normally used for molar teeth because it is strong and withstand the chewing forces.
Appointments for Crown Treatment

First Visit
- Inject an anesthetic, drill, and polish the teeth surface
- X-ray and make an impression
- Determine the color and try-in temporary crown
- Send the impression to laboratory to make the permanent crown

Second Visit
Try-in and cement the permanent crown

Last Visit
Follow-up appointment to check the crown condition after use
Duration of the Crown
It takes about 1-2 weeks to produce the crown, depends on cases.
Lifespan of the Crown
Crown can last for 10-20 years depends on the aftercare.
Aftercare
- Avoid chewing hard food especially on the crown area
- brush the teeth thoroughly and use dental floss to prevent from decay teeth and periodontal disease (gum disease).
- Have an appointment with the dentist every 6 months.
FAQ
A : It is better to wait after giving birth because stress and worries may affect the health of both mom and baby.
A : Embedding the crown can be painful. Nonetheless, anesthetics can be injected during the process and taking the painkiller can help relieving the pain.
A : For most aligners, it is better to change from permanent crown to temporary crown first. However, it is fine for Invisalign clear aligners.

ไทย

